Full Mouth Rehabilitation

Pathak Dental Clinic

Full Mouth Rehabilitation

Full Mouth Rehabilitation in Bhubaneswar

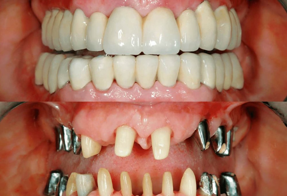
Full mouth rehabilitation in Bhubaneswar is a comprehensive dental treatment designed for patients with multiple dental problems affecting the teeth, gums, bite, and overall oral function. At Pathak Dental Clinic, we offer personalized full mouth rehabilitation solutions to restore oral health, improve aesthetics, and enhance quality of life.

This advanced treatment is ideal for patients with severely worn teeth, missing teeth, chronic dental pain, or bite-related issues. Our expert dental team focuses on long-term functionality, comfort, and natural-looking results.

Full Mouth Rehabilitation

What Is Full Mouth Rehabilitation?

Full mouth rehabilitation, also known as full mouth reconstruction, involves restoring or replacing all teeth in both the upper and lower jaws. It may include a combination of dental procedures such as crowns, bridges, dental implants, root canal treatment, gum therapy, and bite correction.

At Pathak Dental Clinic, every full mouth rehabilitation in Bhubaneswar plan is customized based on the patient’s oral condition, medical history, and smile goals.

Benefits of Full Mouth Rehabilitation

Choosing full mouth rehabilitation offers numerous advantages

Full mouth rehabilitation in Bhubaneswar at Pathak Dental Clinic

Restores proper chewing and bite alignment

Improves speech and facial appearance

Replaces missing or damaged teeth

Reduces jaw pain and discomfort

Enhances smile aesthetics

Improves overall oral health

With modern dental techniques, full mouth rehabilitation delivers long-lasting and natural-looking results.

Book Full Mouth Rehabilitation in Bhubaneswar Today

If you are struggling with multiple dental problems and want a complete solution, full mouth rehabilitation in Bhubaneswar at Pathak Dental Clinic can help.

📞 Book your appointment today and take the first step toward a healthy, confident smile.